BIOBITE

El dispositivo bucal que no sólo mejora tus dientes y encías, sino que ayuda a la respiración oral y los ronquidos mientras duermes.

RESPIRACIÓN

Cada vez son más los niños que respiran por la boca, nuestras investigaciones confirman precisamente que son estos los que más enferman. Biobite, por su efecto pantalla, corrige de forma progresiva este mal hábito educando al niño para respirar por la nariz.

ENFERMEDAD PERIDONTAL

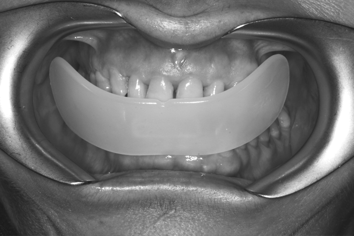
La placa Biobite contiene una pletina que provoca un frote oclusal de los incisivos, teniendo un efecto muy beneficioso para los dientes y las encías, aumentando también la imprescindible secreción de saliva. Si empiezas a notar que tus encías sangran o tus dientes empiezan a moverse, no espere más y use Biobite para corregirlo.

BRUXISMO

Si rechinas o aprietas tus dientes de manera inconsciente puedes sufrir desgaste del esmalte y de los dientes. EL bruxismo afecta aproximadamente a un 70% de la población y puede conllevar dolor de cabeza y dolor de los músculos de la mandíbula, cuello y oído. Las personas que sufren bruxismo quedan protegidas con el uso de Biobite durante Las horas del sueño

UNA SONRISA BONITA CON BIOBITE

Una sonrisa agradable refleja tu estado de ánimo y te da confianza y seguridad. Sólo una boca sana y una correcta posición de Los dientes, labios y encías te La pueden garantizar.

Biobite atenúa el antiestético «código de barras», regula y armoniza la fuerza de Los músculos que bordean tu boca, haciendo más natural y atractiva nuestra forma de sonreír.

PORQUÉ BIOBITE

  • Equilibra las arcadas dentarias y corrige La sobremordida, principal causa de La enfermedad periodontal (periodontitis o también denominada piorrea) por tanto es capaz de tratarla sin necesidad de cirugía.
  • Mejora la posición de Los dientes y los alinea sin necesidad, en muchos casos, de  aparatología  de  ortodoncia  multibrackets.
  • Mejora la respiración oral, abriendo la nariz, y por tanto la oxigenación de La sangre.
  • Mejora los problemas de faringitis y amigdalitis de repetición,
  • Mejora y, a veces, cura alergias y asma bronquial.
  • Mejora el ronquido y el rechinamiento de Los dientes o bruxismo.

Los ronquidos y cómo evitarlos

Se producen por la debilidad de las estructuras musculares que bordean La garganta y por el desplazamiento involuntario de la mandíbula hacia atrás al dormir boca arriba. Pueden revestir gravedad por su asociación con La apnea del sueño.

Te desvelamos cinco simples hábitos para poder evitarlos:

  1. Masticar muy despacio y por ambos lados de la boca
  2. Eliminar o reducir el consumo de tabaco y alcohol y cenar temprano y de forma ligera
  3. Realizar ejercicio físico diario que mejore la oxigenación.
  4. Beber 1,5 Litros de agua al día para que las mucosas de la faringe se mantengan hidratadas durante el descanso.
  5. Utilizar Biobite colocado en la boca durante las horas del sueño, dilata las vías aéreas (efecto de avance mandibular) además de lubricarlas.

Déjanos tus datos y te contactaremos lo antes posible

4 + 3 =

Visítanos en

Clínica Dental Claudio Prieto

Calle Lope de Vega 2, 1ºB. Atarfe (Granada)
info@biobite.es
958 43 88 12